インプラント
「失った歯を取り戻し、
自然な噛み心地を実現します。」
こんどう歯科クリニック
院長/歯科医師
近藤 崇
Takashi Kondo
自然な噛み心地を、
骨から支えるインプラント
当院のインプラント治療は、チタン製の人工歯根を骨に埋め込むため、周囲の歯に負担をかけず、しっかり噛めて自然な見た目を実現します。
「食べる楽しさ」を取り戻したい方におすすめです。まずはご相談をどうぞ。
インプラントとは
インプラントは、義歯やブリッジにかわる第3の歯として、現在注目を集めています。 これは、チタンで出来た人工歯根を、歯を失った部位の顎骨に移植することで、機能回復を行うものです。 親知らずの抜歯程度の小外科手術を伴いますが、たくさんの長所を持ち合わせています。 インプラントは、失った歯の代わりとなる人工歯根です。 それまでの治療法(入れ歯、ブリッジ)と違い、周りの歯を痛めずに作れる唯一の方法です。 食事の際に一番良く噛む事が出来ます。
ブリッジや、義歯では、「周りの歯に負担をかける、削る」もしくは「手入れの煩雑さ」「見た目の悪さ」等の欠点がありますが、インプラントでは、インプラント体単独でかみ合わせの力を受け止める事が出来るため、 周囲の歯に負担をかけたり、削ることはありません。
また、手入れも比較的行いやすく、審美性に優れています。
ただし、全ての場合にインプラントの治療が可能な訳ではありません。
お口の状態、全身状態、治療期間、治療費等を十分に検討した上で、行う必要がありますので、詳しくは当院でお尋ね下さい。
インプラント術後は、しっかりしたプラークコントロールと、術後の定期健診を継続することで、十分長持ちさせることが可能になります。

インプラントの症例
主訴 奥歯で噛めるようになりたい
歯茎を切開した後に、CTデータでシュミレートしたデータを基にサージカルガイドを用いたオペを行いました。
| 治療前 | 治療後 |
|---|---|
![]() |
![]() |
主訴 奥歯で噛めるようになりたい
| 治療前 | 治療後 |
|---|---|
![]() |
![]() |
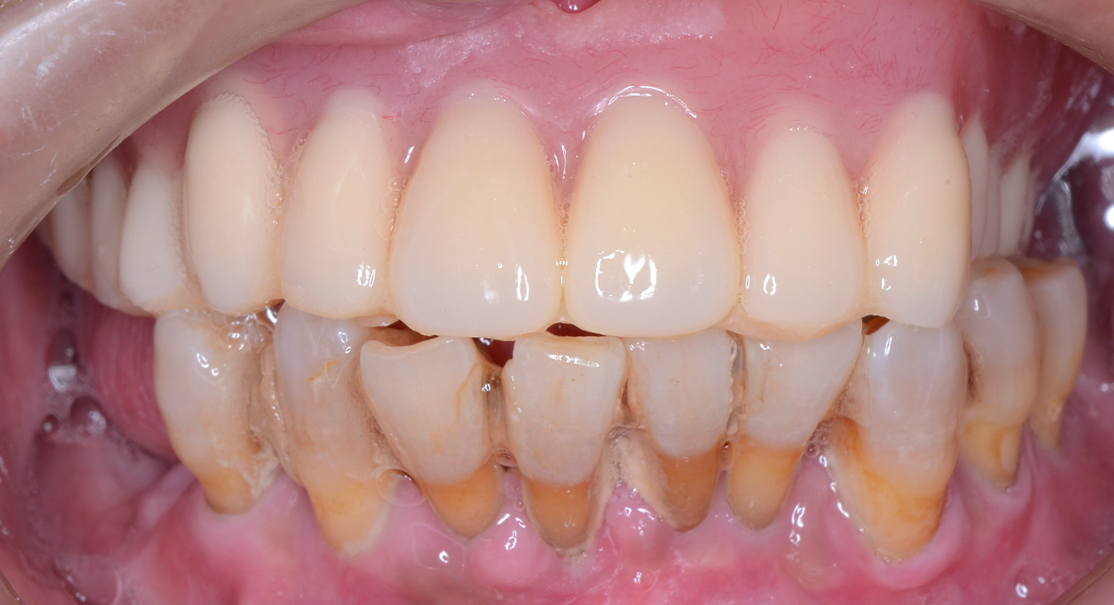
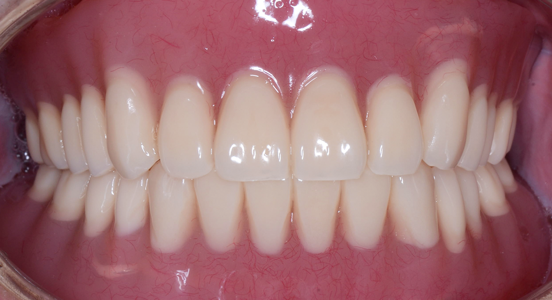
主訴 全体的に治したい
| 治療前 | 治療後 |
|---|---|
![]() |
![]() |
主訴 左のブリッジが取れた
左下6番に対してインプラント治療を行いました。
| 治療前 | 治療後 |
|---|---|
![]() |
![]() |
![]() |
![]() |
主訴 義歯を新しくしてほしい
| 治療前 | 治療後 |
|---|---|
![]() |
![]() |
| インプラントロケーター上顎 | インプラントロケーター下顎 |
|---|---|
![]() |
![]() |
問題点
・以前の歯科で作った義歯が合わない。
・下の歯は全てグラグラしており、将来的にどのようになるのかが不安との事でした。
・義歯は嚙み合わせが悪く、下顎残存歯は重度歯周病にり患しており、長期的な予後不良歯と判断しました。
治療計画
・保険治療での上顎義歯製作、下顎の前歯は便宜抜髄後マグネット義歯製作
・下顎残存歯抜歯して上下インプラントによるボーンアンカードブリッジ
・上下顎インプラントによるロケーター義歯
・患者さんとのカウンセリングで上下顎インプラントによるロケーター義歯を選択、治療にかかりました。
患者様の声
・患者さんは「とんかつも食べられるようになりました、太りそうです(笑)」とおっしゃってくださいました。
・今後はロケーターの定期的な清掃、ゆるみのチェック、義歯の咬合の調整、レントゲン検査によるフォローを行っていく予定です。
インプラントの症例
主訴 奥歯で噛みたい
歯茎を切開した後に、CTデータでシュミレートしたデータを基にサージカルガイドを用いたオペを行いました。
| 治療前 | ![]() |
治療後 | ![]() |
|---|
主訴 奥歯で噛みたい
| 治療前 | ![]() |
治療後 | ![]() |
|---|
主訴 全体的に治したい
| 治療前 | ![]() |
治療後 | ![]() |
|---|
主訴 ブリッジが取れた
左下6番のインプラント治療を行いました。
| 治療前 | ![]() |
![]() |
治療後 | ![]() |
![]() |
|---|
主訴 義歯を新しくしてほしい
| 治療前 | ||
|---|---|---|
![]() |
治療後 | ![]() |
| インプラントロケーター上顎 | ![]() |
インプラントロケーター下顎 | ![]() |
|---|
問題点
・以前の歯科で作った義歯が合わない。
・下の歯は全てグラグラしており、将来的にどのようになるのかが不安との事でした。
・義歯は嚙み合わせが悪く、下顎残存歯は重度歯周病にり患しており、長期的な予後不良歯と判断しました。
治療計画
・保険治療での上顎義歯製作、下顎の前歯は便宜抜髄後マグネット義歯製作
・下顎残存歯抜歯して上下インプラントによるボーンアンカードブリッジ
・上下顎インプラントによるロケーター義歯
・患者さんとのカウンセリングで上下顎インプラントによるロケーター義歯を選択、治療にかかりました。
患者様の声
・患者さんは「とんかつも食べられるようになりました、太りそうです(笑)」とおっしゃってくださいました。
・今後はロケーターの定期的な清掃、ゆるみのチェック、義歯の咬合の調整、レントゲン検査によるフォローを行っていく予定です。

















