審美歯科
「白い輝きを、
あなたの笑顔に。」
まずはお気軽にご相談を。
こんどう歯科クリニック
院長/歯科医師
近藤 崇
Takashi Kondo
自然な美しさと機能を
両立する審美治療
当院では、セラミックやラミネートベニア、ホワイトニングを組み合わせ、かみ合わせも大切にしながら自然で美しい口元を目指します。
「もっと白く、もっと自然に」をご希望の方は、ぜひお気軽にご相談ください。
審美歯科とは
昔、「芸能人は歯が命」というフレーズが流行しましたが、歯の形や色が良くなると、人の印象は随分変わります。具体的には・・・
メラニン除去(歯茎の黒ずみをきれいにする)
ラミネートベニア
ホワイトニング(歯を削らずに薬で白くする)
セラミッククラウン
ノンクラスプデンチャー(金具のない入れ歯です)
などによる治療があります。
これらの治療はただ漫然と行えば、良くなるものではありません。
患者さんの希望を十分に聞き、その上でこちらの専門的な診断を加味した上で、最終的にどう治療するのがベストかを、患者さんと一緒に考えていきます。
歯肉の色を治す
(メラニン除去)
健康な歯茎の色は、人の笑顔をより素晴らしい物にしてくれます。
歯茎の色が黒くなっている場合、当院では、「高周波」という特殊な器械を使用し、歯茎の色をきれいにしていきます。
術後に痛みも少なく、比較的短時間で出来る治療です。歯茎に麻酔をし、高周波を歯茎に照射していきます。1~2週間後にもう一度照射を行い、治療終了です。

ラミネートベニア
歯の表面を薄く一層削り、そこにセラミック製のシェルを貼り付ける治療法です。
主に前歯に用い、歯の重度な変色の改善や、歯並びの改善に効果があります。

| メリット |
|---|
| 歯を削る量が少なくてすむため、歯質や歯の神経に対する影響が最小限に抑えられる。 基本的に型取りと装着の2回で治療が終了するため(術前のコンサルテーションは除く)、通院の時間がとりにくい方でも行いやすい。 |
| デメリット |
| 主に上の前歯に行う治療法であり、また薄いシェルを貼り付けるので、咬み合わせの関係で治療が出来ない場合や、破損の可能性もある。 |
セラミックの差し歯
セラミックで作った歯は、色調が人間の歯に近い自然な仕上がりで作る事が出来て、経年的な変色をしません。
ホワイトニング
ホワイトニングとは、特殊な薬を歯の表面に塗る事で、歯を白くする治療法です。
ノンクラスプデンチャー
金具のない入れ歯です。大きく笑っても、金属が見えません
審美歯科治療の症例
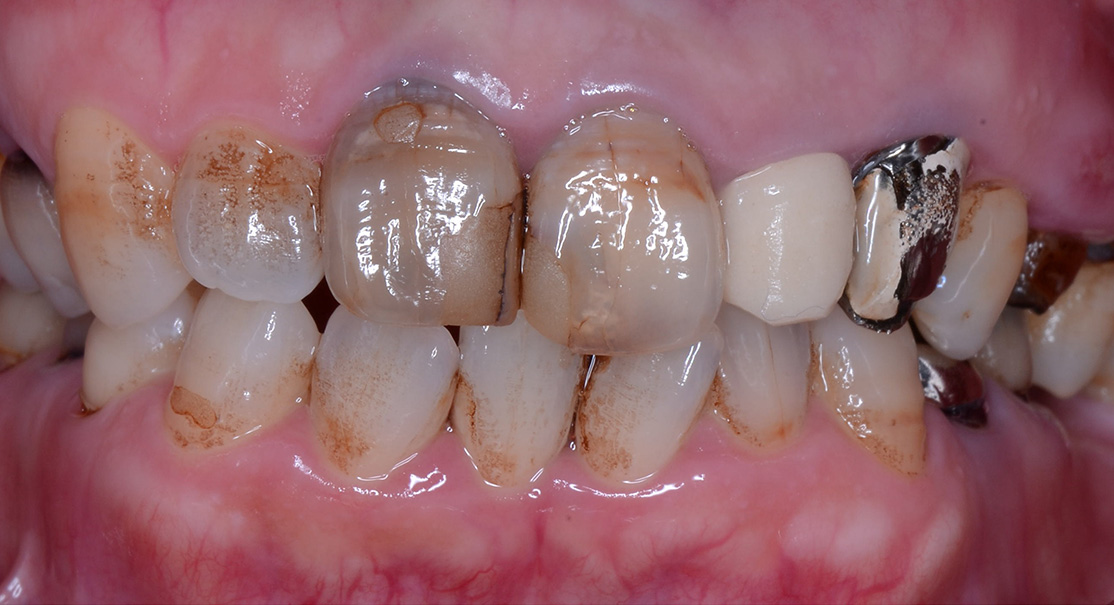
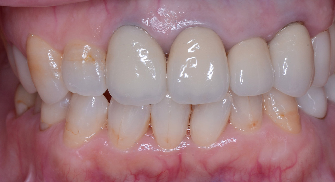
主訴 被せ物の色が不自然で歯茎の境目が黒い
前装冠除去後、仮歯にて調整。セラミッククラウンへ
| 治療前 | 治療後 |
|---|---|
![]() |
![]() |
主訴 前歯のブリッジを綺麗にしたい
隣の歯の形も気になる
右上1ラミネートベニヤ、左上①2③セラミックブリッジ
全体的にホワイトニングを行いました。そして、歯の形を調整して歯の色を点検し、最後にセラミックブリッジのフレームが適合するか確認しました。
| 治療前 | 治療後 |
|---|---|
![]() |
![]() |
主訴 右の前歯を綺麗にして欲しい
神経がなくなって前歯が変色して見た目が悪くなっていたのでセラミッククラウンを行いました。
| 治療前 | 治療後 |
|---|---|
![]() |
![]() |
主訴 銀歯を綺麗にしたい
メタルインレーからセラミックインレーへと治療しました。
| 治療前 | 治療後 |
|---|---|
![]() |
![]() |
主訴 前歯が折れた
矯正治療後セラミッククラウンのかぶせものを行いました。
| 治療前 | 治療後 |
|---|---|
![]() |
![]() |
主訴 前歯をきれいにしたい
前歯をセラミッククラウンへと治療しました。
| 治療前 | 治療後 |
|---|---|
![]() |
![]() |
主訴 差し歯を綺麗にしたい
昔入れた差し歯を綺麗にしたい
| 治療前 | 治療後 |
|---|---|
![]() |
![]() |
主訴 歯と歯茎の境目が気になる
前装冠をセラミッククラウンへと
| 治療前 | 治療後 |
|---|---|
![]() |
![]() |
主訴 前歯が気になる
前歯をセラミッククラウンへと
| 治療前 | 治療後 |
|---|---|
![]() |
![]() |
主訴 全体的に悪い所を治したい
メタルクラウンをセラミッククラウンへと
| 治療前 | 治療後 |
|---|---|
![]() |
![]() |
主訴 歯が欠けた
右上2番の歯が欠けたので治したい
| 治療前 | 治療後 |
|---|---|
![]() |
![]() |
主訴 前歯をきれいにしたい・歯周病の治療を受けたい
| 治療前 | 治療後 |
|---|---|
![]() |
![]() |
| 問題点 1 | 問題点 2 |
|---|---|
![]() |
![]() |
問題点
・左2本は保険治療の前装冠が装着されており、変色、プラークが堆積している。
・歯列が不正で右2本は天然歯にレジン充填治療が施されており、レジンが変色している。
治療計画
・患者様の希望もあり、2本ずつセラミッククラウン治療を行いました。
・歯周病治療、メンテナンスを行いました。
主訴 セラミックの前歯を昔入れたのだが、古くなって見た目が悪い
作り直してほしい、周囲の歯もホワイトニングできれいにしたい
| 治療前 | 治療後 |
|---|---|
![]() |
![]() |
| 問題点 |
|---|
![]() |
問題点
・セラミックブリッジに対して歯肉が退縮し、適合不良が生じています。(青〇部分)
治療計画
・今回のケースですと、仮歯を準備してセラミックブリッジを除去。
・前歯の虫歯の治療と平行してホームホワイトニングを行ってもらいます。
・虫歯治療終了とホワイトニングが終了したら、その後型取りを行います。
・新しいセラミックブリッジのフレーム試適を行い、適合度合い、色、形の確認を行います。
・最終的に出来上がったセラミックブリッジをセットして終了です。
主訴 口の中の金属を出来る限りなくしてきれいにしてほしい
| 治療前 | 治療後 |
|---|---|
![]() |
![]() |
| 治療前 | 治療後 |
|---|---|
![]() |
![]() |
| 治療前 | 治療後 |
|---|---|
![]() |
![]() |
改善点
・歯周病が改善した事で歯並びも一部良くなりました。
とはいえ、まだ歯肉の炎症も残っていますので今後のメンテナンスでしっかりフォローしていきます。
治療計画
・多量の歯石沈着と虫歯があり、まずは基本治療で口腔内の環境改善を行いました。
・その後、患者さんとカウンセリングをさせて頂き、最終のクラウンについて上の前歯と左右の奥歯のブリッジをセラミックに。
・残りは保険治療の素材で出来る限り白い素材(CADCAM)を使用して治療しました。(保険治療でのCADCAMクラウン、インレーは口腔内の状態により適用範囲は変わります)
主訴 前歯が折れた 全体的に診てほしい
| 治療前 | ![]() |
治療後 | ![]() |
|---|
問題点
・20年以上歯科医院に行かず虫歯を放置していた。
・歯科治療に対し恐怖心があった。
治療計画
・虫歯を長期間放置していたため、審美障害、咬合平面の崩壊、顎位の偏位、臼歯の舌側傾斜、歯周病の罹患等々様々な問題が生じていました。
・患者様にはまず虫歯の治療、歯周病の治療を行い、最終的にクラウン等で歯冠修復が必要という説明をさせて頂きました。
審美歯科治療の症例
主訴 被せ物の色が不自然で歯茎の境目が黒い
前装冠除去後、仮歯にて調整。セラミッククラウンへ
| 治療前 | ![]() |
治療後 | ![]() |
|---|
主訴 前歯のブリッジを
綺麗にしたい
隣の歯の形も気になる
右上1ラミネートベニヤ、左上①2③セラミックブリッジ
全体的にホワイトニングを行いました。そして、歯の形を調整して歯の色を点検し、最後にセラミックブリッジのフレームが適合するか確認しました。
| 治療前 | ![]() |
治療後 | ![]() |
|---|
主訴 右の前歯を綺麗にして欲しい
神経がなくなって前歯が変色して見た目が悪くなっていたのでセラミッククラウンを行いました。
| 治療前 | ![]() |
治療後 | ![]() |
|---|
主訴 銀歯を綺麗にしたい
メタルインレーからセラミックインレーへと治療しました。
| 治療前 | ![]() |
治療後 | ![]() |
|---|
主訴 前歯が折れた
矯正治療後セラミッククラウンのかぶせものを行いました。
| 治療前 | ![]() |
治療後 | ![]() |
|---|
主訴 前歯をきれいにしたい
前歯をセラミッククラウンへと治療しました。
| 治療前 | ![]() |
治療後 | ![]() |
|---|
主訴 差し歯を綺麗にしたい
昔入れた差し歯を綺麗にしたい
| 治療前 | ![]() |
治療後 | ![]() |
|---|
主訴 歯と歯茎の境目が気になる
前装冠をセラミッククラウンへと
| 治療前 | ![]() |
治療後 | ![]() |
|---|
主訴 前歯が気になる
前歯をセラミッククラウンへと
| 治療前 | ![]() |
治療後 | ![]() |
|---|
主訴 全体的に悪い所を治したい
メタルクラウンをセラミッククラウンへと
| 治療前 | ![]() |
治療後 | ![]() |
|---|
主訴 歯が欠けた
右上2番の歯が欠けたので治したい
| 治療前 | ![]() |
治療後 | ![]() |
|---|
主訴 前歯をきれいにしたい・
歯周病の治療を受けたい
| 治療前 | ![]() |
治療後 | ![]() |
|---|
| 問題点 1 | ![]() |
問題点 2 | ![]() |
|---|
問題点
・左2本は保険治療の前装冠が装着されており、変色、プラークが堆積している。
・歯列が不正で右2本は天然歯にレジン充填治療が施されており、レジンが変色している。
治療計画
・患者様の希望もあり、2本ずつセラミッククラウン治療を行いました。
・歯周病治療、メンテナンスを行いました。
主訴 セラミックの前歯を昔入れたのだが、古くなって見た目が悪い
作り直してほしい、周囲の歯もホワイトニングできれいにしたい
| 問題点 | ![]() |
治療前 | ![]() |
治療後 | ![]() |
|---|
問題点
セラミックブリッジに対して歯肉が退縮し、適合不良が生じています。(青〇部分)
治療計画
・今回のケースですと、仮歯を準備してセラミックブリッジを除去。
・前歯の虫歯の治療と平行してホームホワイトニングを行ってもらいます。
・虫歯治療とホワイトニングが終了したら、その後型取りを行います。
・新しいセラミックブリッジのフレーム試適を行い、適合度合い、色、形の確認を行います。
・最終的に出来上がったセラミックブリッジをセットして終了です。
主訴 口の中の金属を出来る限り
なくしてきれいにしてほしい
| 治療前 | ![]() |
治療後 | ![]() |
|---|
| 治療前 | ![]() |
治療後 | ![]() |
|---|
| 治療前 | ![]() |
治療後 | ![]() |
|---|
改善点
・歯周病が改善した事で歯並びも一部良くなりました。
とはいえ、まだ歯肉の炎症も残っていますので今後のメンテナンスでしっかりフォローしていきます。
治療計画
・多量の歯石沈着と虫歯があり、まずは基本治療で口腔内の環境改善を行いました。
・その後、患者さんとカウンセリングをさせて頂き、最終のクラウンについて上の前歯と左右の奥歯のブリッジをセラミックに。
・残りは保険治療の素材で出来る限り白い素材(CADCAM)を使用して治療しました。(保険治療でのCADCAMクラウン、インレーは口腔内の状態により適用範囲は変わります)
主訴 前歯が折れた
全体的に診てほしい
| 治療前 | ![]() |
治療後 | ![]() |
|---|
問題点
・20年以上歯科医院に行かず虫歯を放置していた。
・歯科治療に対し恐怖心があった。
治療計画
・虫歯を長期間放置していたため、審美障害、咬合平面の崩壊、顎位の偏位、臼歯の舌側傾斜、歯周病の罹患等々様々な問題が生じていました。
・患者様にはまず虫歯の治療、歯周病の治療を行い、最終的にクラウン等で歯冠修復が必要という説明をさせて頂きました。








































